Leveža kalcifikata u ramenu

Kalcifikat u ramenu (ili kalcificirajući tendinitis ili kalcificirajuća tendinopatija) je stanje gdje dolazi do taloženja naslaga kalcija u tetivama rotatorne manžete ramena.

Ovaj proces može zahvatiti i druge tetive u tijelu, međutim daleko se najčešće javlja u tetivama ramena. Kalcifikati u ramenu su čest uzrok kronične boli u ramenu i jedan od najčešćih uzroka jake akutne boli u ramenu.

Kod koga se javlja kalcifikat u ramenu?

Kalficikat u ramenu češće se javlja kod osoba u dobi od 30 do 60 godina, a uzrok njihovog nakupljanja još medicinski nije posve poznat. Kalcifikat u ramenu statistički češće pogađa žene naspram muškaraca, a ujedno ga viđamo kod 3-20% ljudi koji nemaju bol u ramenu te kod 10-40% onih koji imaju kroničnu bol u ramenu.

Kalcifikati se u ramenu često uočavaju i tijekom dijagnostičkih snimanja, s obzirom da ne moraju nužno izazivati bol. Naime, čak 7.8% osoba ne osjeća nikakve tegobe, ali i dalje ima prisutne kalcifikate u ramenu.

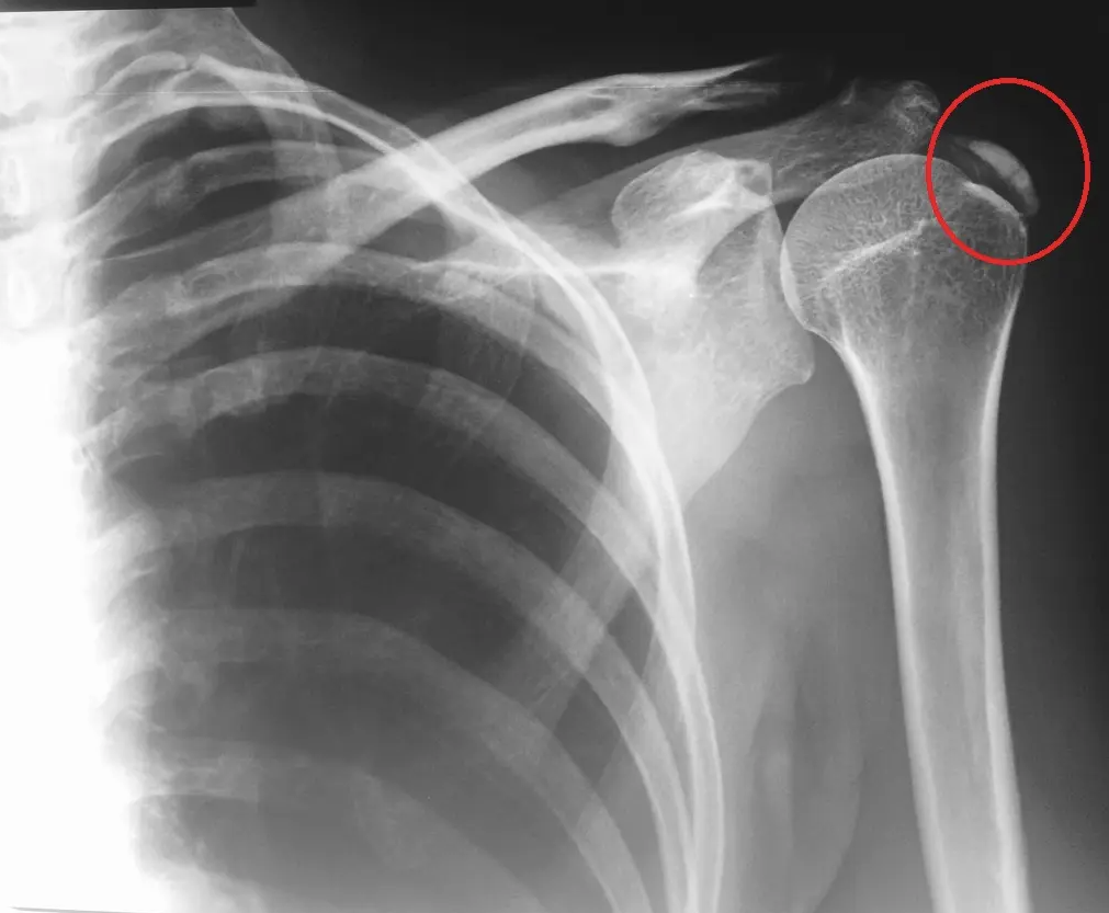
Snimka pojave kalficikata u ramenu

Nije pronađena jasna poveznica između nastanka kalcifikata u ramenu i čimbenika poput fizičkog rada, korištenja dominantne ruke, prisutnosti drugih bolesti ili vrste zanimanja. To sugerira da se kalcifikati razvijaju neovisno o vanjskim opterećenjima i profesionalnim aktivnostima, a njihov nastanak vjerojatno uključuje individualne i biološke čimbenike.

Isto tako, nije potvrđeno da određeni tip prehrane, pojačani unos kalcija ili fizička aktivnost uzrokuju stvaranje kalcifikata u ramenu. Ukratko, kalcifikati u ramenu se mogu pojaviti svakome, bez obzira na čime se bave i kakav im je način života.

 

Koji su simptomi kalcifikata u ramenu?

Simptomi kalcifikata u ramenu mogu biti:

  • akutni – snažna bol koja nastaje formiranjem kalcifikata
  • kronični – bol koja nastaje nakon pojave akutne boli u fazi mirovanja

Koji su simptomi akutne boli u ramenu?

Pacijenti s akutnim simptoma osjećaju naglu i snažnu bol, bez da su prethodno imali traumu ili opteretili rame fizičkom aktivnosti. Bol se pojavi „tijekom noći“, a bol može biti toliko visoka da pacijent osjeća da ne može pomaknuti ruku. Pacijentima je teško odrediti točno mjesto boli s obzirom da se širi po cijelom ramenu.

Uz bol prateći simptom je i jaki spazam (grč) mišića oko ramena. Zbog boli i grčeva u mišićima pomicanje ruke je vrlo otežano tako da se ovo stanje može zamijeniti sa simptomima tzv. smrznutog ramena.

Dodatno, oko kalcifikata u ramenu nakupljuje se i stanice koje se razgrađuju, što se naziva resorptivnom fazom kalcifikata. Taj proces uzrokuje jaku bol zbog porasta tlaka unutar tetive uz lučenje upalnih molekula.  

Koji su simptomi kronične boli u ramenu?

Kronična bol nastaje u formativnoj fazi kalcifikata. U tom procesu dolazi do odlaganja kalcifikata u tetivi ramena, što izaziva bol manjeg ili umjerenog intenziteta. Pacijenti obično imaju tegobe povremeno, kod određenih pokreta, poput podizanja ruke iznad razine glave te dosezanja prema natrag. Bol je najjača u tzv. bolnom luku između 70 do 110 stupnjeva pokreta ramena. Bolovi se javljaju u fazama tijekom godine i traju obično nekoliko tjedana. Bol se može pojaviti i noću.

Ipak, kalcifikat svojom veličinom može proširiti i izbočiti tetivu, što može dovesti do problema prilikom pokreta ramena, a to može izazvati kroničnu iritaciju i bol. Obično kalcifikati veći od 6mm u ramenu uzrokuju tegobe.

Snimka pojave kalficikata u ramenu

Kako prepoznati imam li kalficikate u ramenu?

Ako osjećate bol u ramenu, preporuka je javiti se na specijalistički pregled fizijatra kako bi se dijagnosticirao izvor boli. Na specijalističkom pregledu u Specijalnoj bolnici Arithera, fizijatar će Vam postaviti nekoliko pitanja za pomoć u dijagnostici:

  • Da li boli jedno rame ili oba ramena?
  • Da li je bol u ramenu počela iznenada? Ako jeste, što ste radili?
  • Širi li se bol u druga područja vašeg tijela? Bol u nadlaktici i ramenu?
  • Možete li točno odrediti područje boli?
  • Boli li vas kada se ne krećete, tj. u mirovanju?
  • Boli li vas više kod određenih pokreta? Koji su to pokreti?
  • Da li je bol oštra bol ili tupa bol?
  • Da li je područje ramena bilo crveno, vruće ili natečeno?
  • Da li vas bol drži budnima noću?
  • Što smanjuje, a što pogoršava bol u ramenu?
  • Jeste li morali ograničiti svoje aktivnosti zbog bolova u ramenu?

Za dodatnu dijagnostiku te procjenu veličine i karakteristika kalcifikata koristimo i radiološke-slikovne poput rendgena ramena, ultrazvuka, ponekad i magnetske rezonance (MR). 

Zahvaljujući članstvu u sklopu Arsano Medical Group, omogućujemo širok spektar dijagnostičkih pretraga u suradnji s našim partnerima.

Kako se liječi kalcifikat u ramenu?

Kalficikat u ramenu tj. kalcificirajuća tendinopatija može se liječiti konzervativnim metodama poput lijekova, injekcijama te primjenom fizikalne terapije kao što je liječenje udarnim valom. U slučaju da pacijenti i dalje osjećaju bol ili konzervativno liječenje ne dovodi do željenih rezultata, primjenjuje tzv. „ispiranje“ kalcifikata tj. lavaže kalcifikata.

< h2 > Što je „ispiranje“ kalcifikata – lavaža kalficikata u ramenu?

Lavaža kalcifikata je postupak gdje liječnik koristi ultrazvučnu sliku u realnom vremenu za precizno vođenje igala i uklanjanje kalcifikata. Postupak je siguran i bez ozbiljnijih nuspojava, a primjenjuje se kada konzervativne metode ne donose željene rezultate. Ujedno je i jedini način permanentnog uklanjanja kalcifikata iz ramena.  

Ispiranje kalcifikata u ramenu (barbotaža) pod kontrolom ultrazvuka – shematski prikaz. Uz dopuštenje mskultrasoundinjections.co.uk

Kako izgleda postupak lavaže kalcifikata?

Ispiranje kalcifikata se izvodi ambulantno u lokalnoj anesteziji te hospitalizacija nije potrebna. Postupak traje oko 30 do 45 minuta, ovisno o veličini i tvrdoći kalcifikata.

Tijekom zahvata pacijent leži u udobnom položaju na leđima, s rukom opušteno položenom uz tijelo. Liječnik prvo s pomoću ultrazvučne sonde precizno locira kalcifikat u ramenu kako bi odredio točno mjesto uboda iglom. Nakon toga slijedi temeljita dezinfekcija kože.

Na čistu kožu se nanosi sterilni ultrazvučni gel, a zatim se tanka igla pažljivo uvodi kroz kožu, sve pod stalnim nadzorom ultrazvuka. Prvo se daje lokalni anestetik kako bi se područje oko kalcifikata anesteziralo i postupak bio što ugodniji za pacijenta.

Kada lokalni anestetik nakon nekoliko minuta počne djelovati, liječnik pod kontrolom ultrazvuka ponovno uvodi deblju iglu – ovaj put izravno u kalcifikat. Na iglu se spaja šprica u kojoj se nalazi mlaka fiziološka otopina.

Tijekom zahvata tekućina se nježno ubrizgava u kalcifikat. Zbog pritiska koji nastaje unutar kalcifikata, tekućina se odmah vraća natrag u špricu, a sa sobom nosi i sitne čestice minerala kalcija. Svakim novim potiskom i povratom sve se više kalcija ispire i skuplja u šprici u obliku bijelog taloga.

Kada se dovoljno taloga kalcija nakupi u šprici, zamijeni se novom, bez potrebe za novim ubodom. Postupak se ponavlja sve dok se u špricu ne počne vraćati bistra fiziološka otopina. Na taj način kalcifikat se učinkovito „ispere“ i ukloni iz tkiva.

Kada je veći dio kalcifikata uspješno „ispran“, od kalcifikata ostaje samo tanka ovojnica koja ga je obavijala. Na samom kraju postupka u burzu (malu sluznu „vrećicu“ koja se nalazi iznad tetiva) ubrizgava se mješavina lokalnog anestetika i kortikosteroida.

Kortikosteroid pomaže u sprječavanju i ublažavanju moguće upale koja se može javiti nakon zahvata, čime se dodatno smanjuje bol i nelagoda te ubrzava oporavak.

Tko provodi zahvat „ispiranja“ tj. lavaže kalcifikata?

Specijalistički pregled te posljedični zahvat provodi naš Ivan Galić, dr. med., specijalist fizikalne medicine i rehabilitacije. Područja rada dr. Galića uključuju dijagnostiku, rehabilitaciju i liječenje bolnih stanja sustava za kretanje naročito u području koljena i ramena, degeneracije zglobova, tendinopatija, bolnih sindroma kralježnice. Od dijagnostičkih metoda suvereno izvodi dijagnostički ultrazvuk lokomotornog sustava. Doktor Galić kontinuirano se educira i usavršava na brojnim konferencijama i seminarima.

Što trebam znati nakon zahvata lavaže kalcifikata?

Nakon zahvata, pacijentu se daju upute za oporavak koji je relativno brz. Neki pacijenti mogu imati pojačane bolove do 48h nakon zahvata što je uobičajena pojava i nije razlog za brigu.

Pacijentima se obično savjetuje uzimanje analgetika tipa paracetamola ili ibuprofena, diclofenaka itd. tijekom 5 dana nakon zahvata. Za ublažavanje bolova možete primjenjivati hladne obloge na tretirano rame nekoliko puta dnevno. Led je potrebno stavljati preko tkanine (ne direktno na kožu) u trajanju do 10 minuta.

Pacijent može normalno pomicati ruku odmah nakon zahvata, bez potrebe za imobilizaciju. Dapače, preporučuje se kretanje radi bržeg oporavka, ali je važno izbjegavati veća opterećenja ruke i ramena (npr. nošenje tereta, nagli pokreti ili sportske aktivnosti) barem dva do tri tjedna nakon postupka, kako bi se tkivo u potpunosti oporavilo.

Otprilike 2 do 3 tjedna nakon zahvata, kada se upala smiri i tkiva počnu zacjeljivati, preporučuje se započeti s fizikalnom terapijom. Terapija uključuje ciljane vježbe za povećanje opsega pokreta, jačanje mišića ramena i stabilizaciju zgloba. U početku se rade blage, kontrolirane vježbe uz stručni nadzor, a zatim se postupno povećava intenzitet. Cilj fizikalne terapije je povrat funkcionalnosti ramena i prevencija ponovnog nastanka tegoba. Najčešće metode fizikalne terapije uključuju primjenu ultrazvuka, lasera ili magnetoterapije na tretirano rame radi poboljšanja cijeljenja tkiva.

Autor teksta: dr. Ivan Galić, dr. med., specijalist fizikalne medicine i rehabilitacija, FEBPRM

Više na: www.fizijatar.hr.

Rezervirajte termin

Po primitku vašeg upita kontaktirat ćemo Vas u najkraćem mogućem roku

Rezervacija termina pregleda > Fizikalna medicina

KONTAKT

Bukovačka 1 /
10 000 Zagreb /
+385 1 23 04 074 /
arithera@arithera.hr

Fizikalna terapija za privatne korisnike
Petrova 128 / 
+385 1 444 0074

Fizikalna terapija uz uputnicu HZZO-a
Kraljevićeva 26/1 (Centar Maksimir) / +385 1 2441 544

PJ Dubrovnik
Masarykov put 1a, Dubrovnik/ +385 20 440044

Gostujuća ambulanta u Splitu
Saznajte više 

Gostujuća ambulanta u Orašju – Spinalna kirurgija
Saznajte više 

Rezervacija termina pregleda > Leveža kalcifikata u ramenu

Postavke kolačića

SPECIJALNA BOLNICA ARITHERA prikuplja i obrađuje vaše osobne podatke kada pristupite stranici www.arithera.hr

Vaša prava su pravo na pristup, pravo na brisanje, pravo na ispravak, pravo na prigovor, pravo na prenosivost te pravo na ograničenje obrade.

 

Više o podacima koje obrađujemo kao i o vašim pravima pročitajte u našim Pravilima o privatnosti ili kontaktirajte našeg službenika na dpo.sbarithera@arsanomedical.com, a o kolačićima i drugim tehnologijama pročitajte u Pravilima o korištenju kolačića.

Ovdje možete upravljati postavkama kolačića naše web stranice.

Privolu koju nam dajete klikom na pojedinu kategoriju kolačića možete u bilo kojem trenutku povući.

Klikom na PRIHVAĆAM SVE učitat će se svi kolačići, a klikom na “ODBIJAM” učitat će se samo nužni kolačići koji su neophodni za ispravno funkcioniranje stranice.